C
ClearView News

Can pulmonary fibrosis be misdiagnosed?

Author

Andrew Rivera

Published Jan 15, 2026

IPF and other ILDs can share symptoms with other forms of respiratory and cardiovascular illness and can be misdiagnosed.

What can pulmonary fibrosis be mistaken for?

Conditions That May be Mistaken for IPF

Various organs can be affected including the skin, lymph nodes, and liver. When sarcoidosis affects the lungs, symptoms can mimic idiopathic pulmonary fibrosis including shortness of breath and a dry cough.

Can a diagnosis of pulmonary fibrosis be wrong?

IPF is often initially misdiagnosed - at least until physiological and imaging data suggest the presence of an interstitial lung disease - leading to delay in accessing appropriate care. This point is not trivial in a disease with a median survival of 3 years after diagnosis.

Does lung scarring always mean pulmonary fibrosis?

Proper diagnosis and monitoring of the scars is key to treatment. Scars that remain unchanged for 2 years or more are not usually a cause for concern. However, if they spread, they could indicate pulmonary fibrosis.

Is pulmonary fibrosis easy to diagnose?

Pulmonary fibrosis (PF) may be difficult to diagnose as the symptoms of PF are similar to other lung diseases. There are many different types of PF. If your doctor suspects you might have PF, it is important to see a specialist to confirm your diagnosis.

Idiopathic Pulmonary Fibrosis - pathophysiology, signs and symptoms, investigation and treatment

What are the first signs of pulmonary fibrosis?

Symptoms

  • Shortness of breath (dyspnea)
  • A dry cough.
  • Fatigue.
  • Unexplained weight loss.
  • Aching muscles and joints.
  • Widening and rounding of the tips of the fingers or toes (clubbing)

How do you rule out IPF?

The best way for your doctor to diagnose IPF is to take small samples of tissue from your lungs and check them under a microscope for signs of scarring or other disease.

Is Mild pulmonary fibrosis serious?

Yes, healthcare providers typically consider pulmonary fibrosis a terminal illness. Pulmonary fibrosis is a progressive disease (gets worse over time). There is no cure, and it eventually leads to death.

How quickly does pulmonary fibrosis progress?

The rate at which PF progresses can differ significantly from one person to the next. Some people may experience mild to moderate symptoms that worsen slowly over the course of several years; whereas, others may experience “acute exacerbation” in which their symptoms worsen quickly over the course of days or weeks.

How long does it take for lung fibrosis to develop?

This study showed that, 4% of patients with a disease duration of less than 1 week, 24% of patients with a disease duration of between weeks 1 and 3, and 61% of patients with a disease duration of greater than 3 weeks, developed fibrosis.

Can you live with mild pulmonary fibrosis?

When you do your research, you may see average survival is between three to five years. This number is an average. There are patients who live less than three years after diagnosis, and others who live much longer.

Is a biopsy necessary to diagnose pulmonary fibrosis?

Given the high-quality evidence regarding HRCT specificity for the recognition of histopathologic UIP pattern, surgical lung biopsy is not essential in making the diagnosis. In patients with UIP pattern on HRCT a surgical lung biopsy is not needed for the diagnosis of idiopathic pulmonary fibrosis.

Can a shadow on the lung be nothing?

A shadow on the lung can be anything from cancer to an overlap of completely normal structures. This is quite a range, and your healthcare provider will work with you to pinpoint the cause.

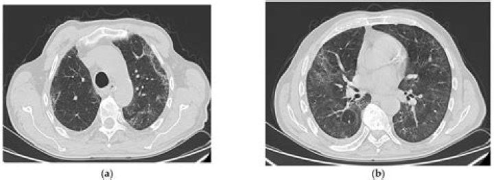
Does pulmonary fibrosis show up on a CT scan?

For some types of pulmonary fibrosis, the results from a CT scan can be very clear and allow a diagnosis to be made. For example, on a CT scan IPF often shows up as a distinctive pattern on the lungs. You might hear your doctor call this honeycomb lung.

Do you cough up phlegm with pulmonary fibrosis?

The cough related to pulmonary fibrosis is dry (does not produce phlegm) and is a common cause of great frustration. Some people may develop a cough long before they complain of any other symptoms. The cough associated with pulmonary fibrosis can be troublesome and irritating for patients.

Can pulmonary fibrosis be confused with asthma?

Idiopathic pulmonary fibrosis (IPF) is often misdiagnosed, as it shares some similarities with other lung diseases like chronic obstructive pulmonary disease (COPD) and asthma. But the long-term effects and outlook for IPF are far different. Asthma.

Do you sleep a lot with pulmonary fibrosis?

Fatigue, sometimes described as overwhelming tiredness or physical malaise, is a common symptom of pulmonary fibrosis (PF) patients. Generally, fatigue is characterized by a lack of energy that does not improve after rest or normally sufficient amounts of sleep.

Can pulmonary fibrosis disappear?

The lung scarring that occurs in pulmonary fibrosis can't be reversed, and no current treatment has proved effective in stopping progression of the disease. Some treatments may improve symptoms temporarily or slow the disease's progression. Others may help improve quality of life.

What are the signs that pulmonary fibrosis is getting worse?

What are the signs someone is approaching end of life?

  • feeling more severely out of breath.
  • reducing lung function making breathing harder.
  • having frequent flare-ups.
  • finding it difficult to maintain a healthy body weight due to loss of appetite.
  • feeling more anxious and depressed.

Can you live 10 years with IPF?

This damaged lung tissue becomes stiff and thick, making it difficult for your lungs to work efficiently. The resulting difficulty in breathing leads to lower levels of oxygen in the bloodstream. In general, the life expectancy with IPF is about three years.

Does Covid cause pulmonary fibrosis?

Discussion. Pulmonary fibrosis is a feared complication of respiratory infections. We found that among survivors of severe COVID-19, 20% of non-mechanically ventilated and 72% of mechanically ventilated individuals had fibrotic-like radiographic abnormalities 4 months after hospitalisation.

What is the longest someone has lived with pulmonary fibrosis?

Still here and kicking, although maybe not at the same rate as before, but happy to have this forum to turn to for information and support. My pulmonologist currently has two ipf patients who were diagnosed 10 years ago. The longest patient case he has ever had is 17 years.

Can you hear pulmonary fibrosis with a stethoscope?

Although idiopathic pulmonary fibrosis is difficult to diagnose, there is a key sign that a primary care doctor can recognize during a physical examination: Velcro®crackles. When a person with IPF breathes in, very often a doctor can hear an unusual crackling sound through the stethoscope.

Does an echocardiogram show pulmonary fibrosis?

Generally, transthoracic echocardiography is an excellent modality to detect pulmonary hypertension. However, in patients with chronic lung disease, including idiopathic pulmonary fibrosis, studies have shown a variable performance for transthoracic echocardiography to detect pulmonary hypertension.

Can MRI detect pulmonary fibrosis?

Main points. Late gadolinium-enhanced MRI can identify pulmonary fibrosis using the histopathologic characteristics of the underlying fibrosis. Late-enhanced MRI is technically feasible and safe in patients with idiopathic pulmonary fibrosis. Late-enhanced MRI is normal in subjects with no pulmonary fibrosis.