C
ClearView News

Do benign spinal tumors cause pain?

Author

Ethan Hayes

Published Jan 18, 2026

Spinal cord tumors are tumors that form in the spinal cord or in the area around it. A spinal cord tumor may be cancer (malignant) or noncancer (benign). A benign tumor can often cause pain and discomfort because it pushes on the spinal cord or nerves. These tumors may cause back pain.

Can benign tumors cause back pain?

Non-mechanical back pain, especially in the middle or lower back, is the most frequent symptom of both benign and malignant spinal tumors. This back pain is not specifically attributed to injury, stress or physical activity. However, the pain may increase with activity and can be worse at night when lying down.

What does spinal tumor back pain feel like?

Spinal tumor pain may feel like an achiness or discomfort deep within the back, rather than feeling painful on the surface or skin. Sharp or shock-like pain.

How do you know if a spinal tumor is benign?

Symptoms of benign spinal tumors

Numbness or tingling in the hands, feet, arms and legs. Pain in the area of the tumor. Lumps or bumps under the skin (especially in the case of Schwannomas) A decrease in sensitivity to hot, cold or pain.

Does spinal tumor hurt all the time?

Back pain is a common early symptom of spinal tumors. Pain may also spread beyond your back to your hips, legs, feet or arms and may worsen over time — even with treatment. Spinal tumors progress at different rates depending on the type of tumor.

Spinal Tumors: Symptoms, Causes

Does pain from a spinal tumor come and go?

When back pain is caused by a cancerous spinal tumor, it typically: Starts gradually and worsens over time. Does not improve with rest and may intensify at night. Flares up as a sharp or shock-like pain in the upper or lower back, which may also go into the legs, chest, or elsewhere in the body.

Can you physically feel a spinal tumor?

Typically, a spine tumor causes pain in the spine itself. You can feel pain in your cervical (neck), thoracic (middle of the back), or lumbar spine (lower back). Tumors can also cause pain, numbness, or weakness in your arms or legs by pressing on the nerves of your spinal cord.

Are benign spinal tumors common?

Primary spinal tumors are those that originate in the spine. They are relatively rare, typically benign (noncancerous) and represent a small percentage of spinal tumors. Malignant tumors may also originate in the spine, although more often they spread to the spine from elsewhere in the body.

Why do spinal tumors hurt at night?

This pain happens because tumors create a great deal of inflammation, and your adrenal gland does not make steroids when you sleep. Spine tumors that are close to major nerves can disrupt their ability to transmit messages between the body and the brain.

What percent of spinal tumors are malignant?

The malignant spinal cord and vertebral tumors comprised 32.58% (173/531) of all tumors, and benign spinal cord and vertebral tumors comprised 67.42% (358/531).

What is the most common presenting symptom of spinal tumor?

Spinal tumor pain

Back pain is the most common symptom of both benign (noncancerous) and malignant (cancerous) spinal tumors. Pain from spinal tumors in your middle or lower back is more common, as tumors are more likely to develop in those regions of your spine.

What are the symptoms of a tumor on your spine?

Vertebral tumor signs and symptoms may include:

  • Pain at the site of the tumor due to tumor growth.
  • Back pain, often radiating to other parts of your body.
  • Back pain that's worse at night.
  • Loss of sensation or muscle weakness, especially in your arms or legs.
  • Difficulty walking, sometimes leading to falls.

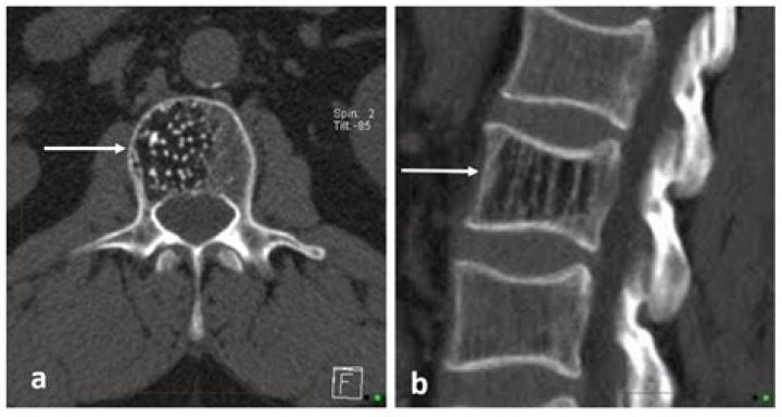
Can CT scan detect spinal tumor?

A CT scan is only rarely used to help diagnose spinal tumors. Biopsy. The only way to determine the exact type of a spinal tumor is to examine a small tissue sample (biopsy) under a microscope. The biopsy results will help determine treatment options.

Can you tell if a tumor is cancerous from an MRI?

Using MRI, doctors can sometimes tell if a tumor is or isn't cancer. MRI can also be used to look for signs that cancer may have metastasized (spread) from where it started to another part of the body. MRI images can also help doctors plan treatment such as surgery or radiation therapy.

How fast do spinal tumors grow?

Tumors that have spread to the spine from another site often progress quickly. Primary tumors often progress slowly over weeks to years. Tumors in the spinal cord usually cause symptoms, sometimes over large portions of the body. Tumors outside the spinal cord may grow for a long time before causing nerve damage.

Do spinal lesions cause back pain?

There are several syndromes that can result from these lesions which will affect different motor skills and abilities. For example, spinal lesions can add pressure to areas of the spine which cause chronic pain and impairment to an individual's daily life.

Can an xray show a spinal tumor?

The soft tissues in the body (like blood, skin, fat, and muscle) allow most of the X-ray to pass through and appear dark gray on the film. A bone or a tumor, which is denser than soft tissue, allows few of the X-rays to pass through and appears white on the X-ray.

Can spinal tumor cause muscle pain?

Odd Reflexes and Muscle Contractions

When a spinal tumor compresses nerves in the spine, it can cause you to suffer from involuntary and abnormal twitches, contractions of various muscles or muscle spasms.

Would a spinal tumor show up in blood work?

Blood tests are not used to diagnose brain or spinal cord tumours. However, they are routinely done to provide a baseline before any planned treatment. They can provide helpful information about your general health, how other organs are functioning, other medical conditions and the possible risks of treatment.

Do benign spinal tumors grow?

Most are benign and slow growing. Meningiomas are only rarely malignant. As they increase in size, the person may experience pain, loss of sensation or motor function, and partial paralysis. Meningiomas most commonly occur in the thoracic region, and women are more likely than men to develop these tumors.

How are benign spinal tumors treated?

For benign spinal tumors that don't cause symptoms or don't appear to be progressing, physicians might recommend holding off on surgery. Instead, they will monitor the tumor through regular MRIs, or see if it responds well to chemotherapy or radiation. “Whenever we can, we'll treat patients without surgery,” Dr.

Can a tumor cause lower back pain?

Cancer is a rare but possible cause of lower back pain in some people. Lower back pain related to cancer is more likely related to a tumor in a surrounding area (such as the colon) than cancer in the back itself.

Can a tumor cause sciatica pain?

Tumors, masses, or growths that are benign or cancerous may cause sciatica-like signs and symptoms if they occur in the lower spine or on the sciatic nerve (nerve tumors). Tumors of any type are a medical emergency and must be monitored and/or treated immediately.

How common are spinal tumors?

So, spinal tumors are not nearly as common as breast or prostate cancer. But that doesn't mean they're unheard of. Every year, some 10,000 Americans develop metastatic spinal cord tumors—the kind of tumor that will spread or that is caused by spreading cancer.

Can a tumor be mistaken for a bulging disc?

Tumors of the spinal cord or near the sciatic or femoral plexus can cause neural compression and clinical signs similar to those of disc herniation. Such tumors are usually misdiagnosed as discal herniation and appropriate treatment is delayed.