C
ClearView News

Does CT scan show autoimmune pancreatitis?

Author

David Mccullough

Published Jan 20, 2026

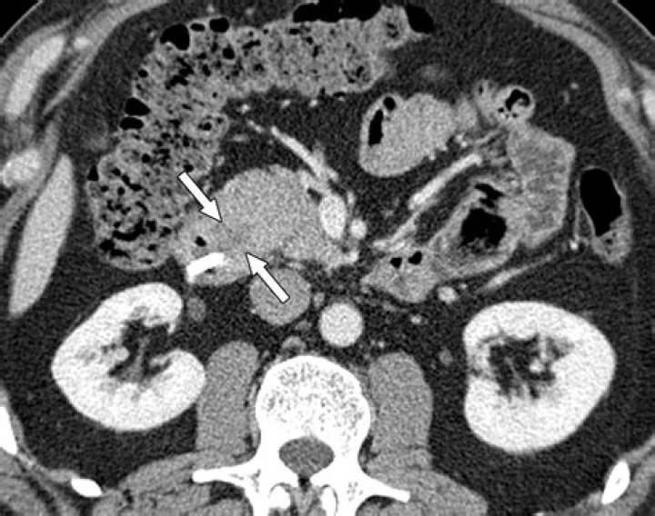
A relatively specific main pancreatic duct change of AIP is multifocal narrowing, and this may be depicted on CT or MRCP (1, 19).

How do they test for autoimmune pancreatitis?

Consensus guidelines for diagnosis use a combination of imaging, blood tests and biopsy results. Specific tests may include: Imaging tests. Tests of your pancreas and other organs may include CT, MRI, endoscopic ultrasound (EUS) and endoscopic retrograde cholangiopancreatography (ERCP).

Can a CT scan show an inflamed pancreas?

CT scans of the pancreas can provide more detailed information about the pancreas than standard X-rays of the abdomen, thus providing more information related to injuries and/or diseases of the pancreas. CT scans of the pancreas are useful in the diagnosis cancer of the pancreas and pancreatitis.

Can pancreas problems be missed on CT scan?

Tumors which are no larger than 2 cm (about ¾ of an inch) are called Stage I tumors, but even Stage I tumors are found to have already spread beyond the pancreas more than half the time, and they are frequently missed on CT scan.

Can a CT scan Miss chronic pancreatitis?

However, CT is poor at detecting subtle abnormalities in pancreatic parenchyma or changes in side branches of the pancreatic duct, which are commonly seen in milder forms of the disease. CT has good specificity but lacks sensitivity for diagnosis of chronic pancreatitis.

Autoimmune Pancreatitis CT DAMS Unplugged by Dr Sumer Sethi

Can pancreatitis be autoimmune?

Autoimmune pancreatitis (AIP) is a chronic inflammation that is thought to be caused by the body's immune system attacking the pancreas and that responds to steroid therapy. Two subtypes of AIP are now recognized, type 1 and type 2.

What does chronic pancreatitis look like on CT?

CT features of chronic pancreatitis that can be visualized on CT scans include dilatation of the main pancreatic duct; calcifications; changes in size, shape, and contour; pseudocysts; and bile duct changes. (See the CT images of chronic pancreatitis below.)

Is CT or MRI better for pancreas?

Results. CT showed a diagnostic accuracy of 83.3%, with sensitivity and specificity of 81.4% and 43% respectively. MRI showed superior diagnostic accuracy compared to CT (89,1%). However, EUS demonstrated the best diagnostic value in PC (accuracy of 92,7%).

Does a CT scan show pancreatic tumor?

Computed tomography (CT) scan

The CT scan makes detailed cross-sectional images of your body. CT scans are often used to diagnose pancreatic cancer because they can show the pancreas fairly clearly. They can also help show if cancer has spread to organs near the pancreas, as well as to lymph nodes and distant organs.

What does no acute findings mean on CT scan?

Each radiologist classified patients into two groups: “no acute findings” and “acute findings”. An acute finding was defined as any CT abnormality explaining the symptoms and related to emergency findings. Incidental findings considered as not related to the patient's symptoms were not included in acute findings.

Does chronic pancreatitis always show on CT?

While diagnosis of early chronic pancreatitis is not reliable, CT should nevertheless be performed in all patients to exclude a mass or gastro-intestinal malignancy[12].

Can you have pancreatitis with a negative CT scan?

Ultrasound and CT are insensitive in diagnosis of early chronic pancreatitis, as they often show no abnormalities. A recent study showed that parenchymal changes might precede ductal changes in chronic pancreatitis; thus depicting the importance of MRI compared to MRCP in early diagnosis of disease[42].

Can you see pancreatitis on CT scan without contrast?

Contrast-enhanced computed tomography (CECT) is the standard imaging modality for the evaluation of acute pancreatitis and its complications. Using non–contrast-enhanced CT, clinicians can establish the diagnosis and demonstrate fluid collections but cannot evaluate for pancreatic necrosis or vascular complications.

Is lipase elevated in autoimmune pancreatitis?

Some AuP patients have abnormally high serum amylase and lipase levels, but these are not specific features. In 94% of patients with AuP, serum levels of IgG4 are elevated [21].

Is pancreatitis autoimmune rare?

Autoimmune pancreatitis (AIP) is a rare autoimmune disorder. In this disorder, the body's immune system attacks its own healthy cells. AIP can be managed with steroid therapy and has a positive outlook.

What can be mistaken for pancreatitis?

A couple of acute abdominal conditions that can mimic pancreatitis include:

  • impacted gallstones (biliary colic)
  • gastric perforation or duodenal ulcer.

What is the best test to diagnose pancreatitis?

The best test for acute pancreatitis is the serum lipase test. If the lipase concentration is >3x the upper limit of normal, a diagnosis of acute pancreatitis is highly likely. Serum lipase levels increase within 4-8 hours of acute pancreatitis onset and remain elevated for 8-14 days.

What does a CT scan of the abdomen show?

What Is an Abdominal CT Scan? An abdominal CT scan uses a special X-ray machine to take pictures of the liver, spleen, kidneys, bladder, stomach, intestines, pancreas, and adrenal glands, blood vessels, and lymph nodes . A person getting a CT scan lies on a table.

What labs are elevated with pancreatitis?

Serum amylase and lipase levels are typically elevated in persons with acute pancreatitis. However, these elevations may only indicate pancreastasis. In research studies, amylase or lipase levels at least 3 times above the reference range are generally considered diagnostic of acute pancreatitis.

What is pancreatic protocol CT scan?

The CT pancreas protocol serves as an outline for a dedicated examination of the pancreas. As a separate examination, it is usually conducted as a biphasic contrast study and might be conducted as a part of other scans such as CT abdomen-pelvis, CT chest-abdomen-pelvis.

Can a fatty liver cause pancreatitis?

Fatty liver is commonly associated with benign gastrointestinal and pancreaticobiliary diseases, including acute pancreatitis [14].

Can pancreas be seen on chest CT?

Why you might have it. You might have a CT scan of your tummy (abdomen) and chest. A CT scan of your abdomen can show whether there any changes in the pancreas or nearby structures, such as the liver. in the chest.

What is the most accurate test for chronic pancreatitis?

Computed tomography (CT) is considered the best initial imaging test in the workup for CP. Advantages of CT scans are that they are widely accessible, show a detailed view of pancreatic morphology changes seen in CP, and are especially useful in detecting changes seen in advanced disease.

How do you rule out chronic pancreatitis?

How is chronic pancreatitis diagnosed?

  1. Blood tests. They will look for high levels of two pancreatic enzymes, amylase and lipase. ...
  2. CT scan. This test creates a 3-D image of your pancreas, using X-rays and a computer.
  3. Abdominal ultrasound. ...
  4. Endoscopic ultrasound. ...
  5. ERCP. ...
  6. Magnetic resonance cholangiopancreatography.

Can you have chronic pancreatitis with normal labs?

As chronic pancreatitis cannot be diagnosed with blood tests, the resulting malnutrition could be diagnosed in cases where the patient with CP has already developed pancreatic exocrine insufficiency (PEI).