C
ClearView News

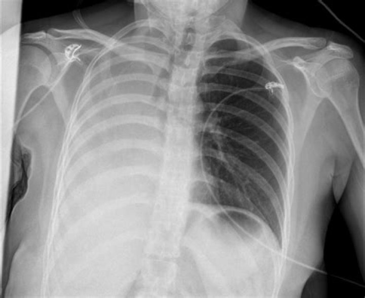
What are the chances of lung collapse during biopsy?

Author

Daniel Martin

Published Jan 06, 2026

Risks. A lung needle biopsy can cause a collapsed lung (pneumothorax) in about one-third of people. Air can leak from: The lung through the puncture after the needle is removed.

What happens if your lung collapses during a biopsy?

Usually, a collapsed lung after a biopsy does not need treatment. But if the pneumothorax is large, there is preexisting lung disease or it does not improve, a chest tube is inserted to expand your lung.

What causes a lung to collapse during biopsy?

An air leak from the punctured lung into the chest cavity that causes the lung to collapse (pneumothorax). If a collapsed lung should occur and is large enough to be considered harmful, a small tube may be inserted into the chest cavity to drain away the air.

What are the risks associated with a lung biopsy?

Some possible complications of these procedures may include, but are not limited to, the following: Pneumothorax is when air becomes trapped in the pleural space causing the lung to collapse. Bleeding in the lung. Infection.
...
Risks of the procedure

  • Blood loss or clots.
  • Pain or discomfort.
  • Infection.
  • Pneumonia.

Can a lung biopsy cause a pneumothorax?

Pneumothorax is the most common complication of transthoracic lung biopsy (4). A patient with stable pneumothorax may be treated conservatively without chest tube insertion. If pneumothorax is large (greater than 30% of hemithorax), is rapidly expanding, or is causing symptoms, chest tube insertion is warranted.

CT Lung Biopsy

How common is a collapsed lung after biopsy?

Most studies report a 20% to 25% incidence of pneumothorax after TTNB of the lung, with higher rates when patients have moderate-to-severe emphysema or with core biopsy.

How common is pneumothorax in lung biopsy?

Pneumothorax. The most common complication of chest biopsy is development of a pneumothorax. The largest retrospective series placed the incidence of pneumothorax at 20.5% and the incidence of pneumothorax requiring chest drainage at 3.1%.

How long does it take to recover from lung biopsy?

You may need to take it easy at home for a day or two after the procedure. For 1 week, try to avoid heavy lifting and strenuous activities. These activities could cause bleeding from the biopsy site. It can take several days to get the results of the biopsy.

What causes lung collapse?

Collapsed lung can be caused by an injury to the lung. Injuries can include a gunshot or knife wound to the chest, rib fracture, or certain medical procedures. In some cases, a collapsed lung is caused by air blisters (blebs) that break open, sending air into the space around the lung.

Do they put you to sleep for a lung biopsy?

You'll get general anesthesia for this procedure, which means you won't be awake for it. Your doctor puts a breathing tube down your throat and into your lungs and keeps tabs on your breathing, blood pressure, oxygen levels, and heart rate.

How serious is a collapsed lung?

Symptoms usually include sudden chest pain and shortness of breath. On some occasions, a collapsed lung can be a life-threatening event. Treatment for a pneumothorax usually involves inserting a needle or chest tube between the ribs to remove the excess air. However, a small pneumothorax may heal on its own.

How do they fix a collapsed lung?

Some people with a collapsed lung need extra oxygen. Lung surgery may be needed to treat collapsed lung or to prevent future episodes. The area where the leak occurred may be repaired. Sometimes, a special chemical is placed into the area of the collapsed lung.

How long do you stay in hospital after a lung biopsy?

After your biopsy. You usually stay in hospital for 3 to 5 days. Or you might need a bit longer to recover than this.

Can a collapsed lung heal?

Most people who have a collapsed lung generally heal without major treatment. If you've had a collapsed lung, you have a higher chance of having it again.

How long does it take to recover from a collapsed lung?

Follow-up after a collapsed lung consists of an outpatient physical examination by your doctor and repeat X-rays in the short term. Recovery from a collapsed lung generally takes about one to two weeks. Most people can return to full activity upon clearance by the doctor.

What percentage of lung biopsies are malignant?

About 40 percent of pulmonary nodules turn out to be cancerous. Half of all patients treated for a cancerous pulmonary nodule live at least five years past the diagnosis. But if the nodule is one centimeter across or smaller, survival after five years rises to 80 percent.

What happens when one lung collapses?

A collapsed lung occurs when air escapes from the lung. The air then fills the space outside of the lung between the lung and chest wall. This buildup of air puts pressure on the lung, so it cannot expand as much as it normally does when you take a breath. The medical name of this condition is pneumothorax.

How long can you live with one collapsed lung?

The lungs are key organs in the human body, responsible for bringing oxygen into the body and helping get rid of waste gases with every exhale. Though having both lungs is ideal, it is possible to live and function without one lung. Having one lung will still allow a person to live a relatively normal life.

Can you breathe with a collapsed lung?

Pneumothorax Treatment

They treat a collapsed lung by getting rid of the pressure outside the lung so it can inflate again. In minor cases without symptoms, the lung can expand again on its own. You may need to breathe oxygen from a container for a short time to help.

Is it painful to have a lung biopsy?

Lung biopsy procedures are not usually painful and have few risks that doctors associate with them. A doctor will only recommend a lung biopsy procedure to support their diagnosis.

Can a lung biopsy cause death?

Surgical lung biopsy for interstitial lung disease can help clarify the diagnosis but mortality has been reported to be high in some case series. In a large national dataset, in-hospital mortality after elective lung biopsy was 1.7% but significantly higher in nonelective procedures.

Which lung biopsy is the safest?

Percutaneous lung biopsies are a relatively safe procedure, and their performance has been rapidly increasing. The number of procedures performed by a hospital was associated with the complication rate.

How long does a lung biopsy take to perform?

The procedure usually takes 30 to 60 minutes. The biopsy is done in the following way: A chest x-ray or chest CT scan may be used to find the exact spot for the biopsy. If the biopsy is done using a CT scan, you may be lying down during the exam.

What should you not do after a biopsy?

Keep the bandage on your biopsy site until the day after your biopsy.
...
For 3 days after your biopsy, do not:

  1. Lift anything heavier than 5 pounds (2.3 kilograms).
  2. Do any strenuous exercises, such as running or jogging.
  3. Bathe, swim, or soak the biopsy site under water. You may shower 24 hours after your biopsy.

Can the lung repair itself?

As described above, the lung has the capacity to regenerate, especially the lung epithelium, a process that is dependent on the survival of suitable progenitor cells located within a viable distance of the damage site.